Support

Lorem ipsum dolor sit amet:

24h / 365days

We offer support for our customers

Mon - Fri 8:00am - 5:00pm (GMT +1)

Get in touch

Cybersteel Inc.
376-293 City Road, Suite 600
San Francisco, CA 94102

Have any questions?
+44 1234 567 890

Drop us a line
info@yourdomain.com

About us

Lorem ipsum dolor sit amet, consectetuer adipiscing elit.

Aenean commodo ligula eget dolor. Aenean massa. Cum sociis natoque penatibus et magnis dis parturient montes, nascetur ridiculus mus. Donec quam felis, ultricies nec.

Wirbelsäule

Die Wirbelsäule bildet die "knöcherne Mitte" des menschlichen Körpers und erfüllt eine wichtige Haltefunktion, indem sie die gesamte Last von Kopf, Hals, Rumpf und Armen trägt. Darüber hinaus ermöglicht sie Bewegungen wie Beugen, Strecken, Neigen und Drehen des Körpers. Angeborene Fehlbildungen der Wirbelsäule können diese wichtigen Funktionen ebenso beeinflussen und die Bewegungsfreiheit einschränken wie verschleißbedingte Erkrankungen. Diesen begegnet unsere Klinik für Orthopädie mit einem abgerundeten Leistungsspektrum und einem hohen Maß an Erfahrung auf dem Gebiet der Wirbelsäulenchirurgie – untermauert wird diese durch die Zertifizierung als Wirbelsäuleneinrichtung durch die Deutsche Wirbelsäulen Gesellschaft (DWG®).

Als angeborene Wirbelsäulenfehlbildung tritt die Skoliose sehr häufig auf. Dabei handelt es sich um eine dreidimensionale Deformität der Wirbelsäule (Seitverbiegung mit gleichzeitiger Rotation der Wirbel), die einer sehr präzisen Therapieplanung bedarf. Im Rahmen der konservativen Therapie kann die Fehlhaltung häufig durch Physio- oder eine Korsetttherapie positiv beeinflusst werden. Führen diese Maßnahmen jedoch nicht zum gewünschten Erfolg, richten wir die Verkrümmung der Wirbelsäule in einer Operation bestmöglich auf und beseitigen die Rotation. Mit Implantaten wird die Wirbelsäule in der korrigierten Position gehalten und anschließend versteift.

Noch häufiger als angeborene Erkrankungen führt auch der Verschleiß der Wirbelsäule zu schmerzhaften und belastenden Einschränkungen im täglichen Leben. Die konservative und operative Behandlung der daraus resultierenden Erkrankungen erstreckt sich in unserer orthopädischen Klinik somit von Bandscheibenerkrankungen und Verengungen der Wirbelkanäle über Wirbelgleiten und komplexe Deformitäten mit Verbiegen und Verdrehen der Wirbelsäule über mehrere "Etagen" bis hin zur Versorgung von meist osteoporotisch bedingten Wirbelkörperfrakturen.

Sämtliche gezielte Injektionen an verschiedenen Strukturen der Wirbelsäule finden in unserer Klinik unter Röntgenkontrolle und – teilweise – unter OP-Bedingungen statt (Abb. 2).

Bild Orthopädie Wirbelsäule
Bild Orthopädie OP Wirbelsäule

Bei einem Bandscheibenvorfall ist der Faserknorpelring der Bandscheibe komplett oder in Teilen durchgerissen, so dass Teile der Bandscheibe in den Wirbelkanal vortreten. Eine konservative Therapie, die neben medikamentösen auch physiotherapeutische Behandlungen einschließt, ist in den meisten Fällen erfolgreich. Sofern fallbedingt zudem ein operativer Eingriff notwendig wird (Abb. 3), erzielen wir sowohl bei der mikroskopischen als auch der endoskopischen (Schlüsselloch-Technik, Abb. 4) Bandscheibenoperation eine Linderung der Beschwerdesymptomatik.

Bild Orthopädie OP Bandscheibe
Bild Orthopädie Naht Bandscheibe

Eine Erkrankung, die besonders bei älteren Menschen sehr häufig an der Lendenwirbelsäule auftreten kann, ist die Spinalkanalstenose. Hierbei verengt sich der Wirbelsäulenkanal durch degenerative Veränderungen an Wirbelgelenken, Bändern und Bandscheiben, wodurch die im Spinalkanal verlaufenden Nerven eingequetscht werden und Schmerzen verursachen. Lassen sich diese nicht mit konservativen Maßnahmen beheben, wenden wir verschiedene Operationsverfahren an: Bei der minimal-invasiven Dekompression unter Verwendung eines OP-Mikroskopes werden die einengenden Strukturen chirurgisch entfernt und so die Nerven wieder freigelegt.

Einen weiteren Schwerpunkt unserer Orthopädie bildet die Behandlung der Instabilität der Wirbelsäule, wie z.B. eines Wirbelgleitens (Spondylolisthese), wobei sich der obere Wirbelsäulenanteil meist gegenüber dem darunterliegenden Wirbelsäulenanteil nach vorn verschiebt. Von diesem Krankheitsbild sind häufig ältere Menschen betroffen. Die konservative Therapie erstreckt sich dabei von der Stützung des Rumpfes mittels einer Rumpforthese über Physiotherapie bis hin zu einer Schmerzbehandlung mittels Infiltrationstherapie (Gabe von Flüssigmedikamenten in die Haut oder tiefer liegende Bereiche) oder PRT (Periradikuläre Therapie, Gabe von Medikamenten direkt an die Nervenwurzel). Bei mangelndem Erfolg der konservativen Maßnahmen entscheiden unsere Fachärzte je nach Symptomatik und Einzelfall, ob eine Operation eine Linderung der Schmerzen bewirken kann – im Falle chronischer Nervenschädigungen oder ausgeprägter statischer Haltungsschäden muss das betroffene Wirbelsegment in einem operativen Eingriff (Spondylodese) reponiert und anschließend versteift werden (Abb. 5 & 6).

Bild Orthopädie Spondylodese
Bild Orthopädie Spondylodese OP

Wenn die Instabilität nicht nur durch Gleiten nach vorn, sondern durch Gleiten zur Seite oder Drehen der einzelnen Wirbel gegeneinander bedingt ist, entsteht die so genannte degenerative Skoliose, also Verkrümmung der Wirbelsäule durch den Verschleiß. Diese ist primär meist Ausdruck einer Instabilität, welche in spätem Stadium der Erkrankung durch Anbau von zusätzlichen Knochen durch den Körper bereits stabilisiert sein kann.

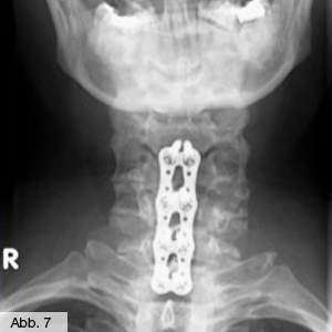
Dieser zusätzliche Knocheneinbau führt oft neben der Stabilisierung auch zu einer Einengung des Spinalkanals oder der Nervenaustrittstellen. Auch bei diesem Krankheitsbild kommen alle oben genannten, nicht-operativen Maßnahmen in unserer Klinik zur Anwendung. Bei fehlendem Erfolg wird dann geprüft, ob ein aufwendiger Eingriff mit Erweiterung des Spinalkanals, Wiederbegradigung und Stabilisierung der Wirbelsäule sinnvoll ist, welcher dann in unserer Klinik durchgeführt wird. Solche Eingriffe führen wir an der Hals-, Brust- und Lendenwirbelsäule durch (Abb. 7 & 8).

Bild Orthopädie Wirbelgleiten
Bild Orthopädie Wirbelgleiten

Abgerundet wird das Leistungsspektrum der Wirbelsäulenchirurgie durch die Therapie osteoporotisch bedingter Wirbelkörperfrakturen. Wenn sich die Knochensubstanz und -qualität altersbedingt verringert, kommt es nicht selten zu einem Bruch des Wirbelkörpers. Die dadurch entstehenden Rückenschmerzen lassen sich durch konservative Maßnahmen wie Schmerzmittel oder einer Korsetttherapie teilweise beheben. Wenn die konservative Therapie nicht oder nicht ausreichend hilft, führen wir eine Operation durch, in welcher der gebrochene Wirbelkörper wieder aufgerichtet und stabilisiert wird. Bei dieser so genannten Kyphoplastie handelt es sich um einen minimal-invasiven Eingriff, in dem ein Ballon im Wirbelkörper platziert und aufgedehnt wird, wodurch der gebrochene Wirbel aufgerichtet wird. Durch Einspritzen von Knochenzement in den dadurch entstehenden Hohlraum wird der Wirbelkörper stabilisiert.  Mit dieser Stabilisierungsform ist eine sofortige Mobilität möglich, so dass der Patient direkt nach dem Eingriff aufstehen und sich bewegen kann.

Sämtliche operative Eingriffe an der Wirbelsäule werden in unserer Klinik für Orthopädie mit neuester Technik und größtmöglicher Sicherheit ausgeführt. So profitieren unsere Patienten von unseren erfahrenen Fachärzten, Orthopäden und Neurochirurgen mit speziellen Kenntnissen auf dem Gebiet der Wirbelsäulenchirurgie.

Copyright 2026. All Rights Reserved.
You are using an outdated browser. The website may not be displayed correctly. Close