Support

Lorem ipsum dolor sit amet:

24h / 365days

We offer support for our customers

Mon - Fri 8:00am - 5:00pm (GMT +1)

Get in touch

Cybersteel Inc.
376-293 City Road, Suite 600
San Francisco, CA 94102

Have any questions?
+44 1234 567 890

Drop us a line
info@yourdomain.com

About us

Lorem ipsum dolor sit amet, consectetuer adipiscing elit.

Aenean commodo ligula eget dolor. Aenean massa. Cum sociis natoque penatibus et magnis dis parturient montes, nascetur ridiculus mus. Donec quam felis, ultricies nec.

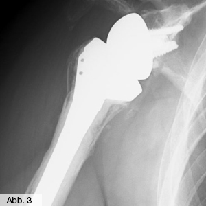
Endoprothetik

Der aus dem Griechischen stammende Begriff Endoprothetik bedeutet so viel wie "innerer Ersatz" und umschreibt in der Medizin die Möglichkeit, ein krankhaft oder unfallbedingt verändertes Gelenk durch ein künstliches Implantat zu ersetzen. In der Orthopädie kommt der Gelenkersatz vorwiegend bei fortgeschrittenem Verschleiß der Gelenke wie beispielsweise Hüfte (Abb. 1), Knie (Abb. 2), Schulter (Abb. 3) oder Ellenbogen zum Einsatz. Wenn im Falle einer so genannten Arthrose konservative Maßnahmen nicht zur gewünschten Schmerzlinderung führen, ist eine gelenkersetzende Operation für den Patienten in der Regel unausweichlich. Dass hierbei höchste Präzision und Patientensicherheit an oberster Stelle stehen, bestätigt die im Jahr 2014 erfolgte Zertifizierung zum EndoProthetikZentrum der Maximalversorgung.

Bei der Wahl des für den Patienten geeigneten Implantates wird zwischen Teil- und Vollprothesen unterschieden: Unter individueller Berücksichtigung zahlreicher Faktoren wie Alter des Patienten, Krankheitsstadium, Knochenqualität, Lebensumstände und -aktivitäten, wird nach ausgiebigen Untersuchungen gemeinsam mit dem Patient besprochen, welche Prothese und welches Operationsverfahren in seinem Fall zum Tragen kommt.

Bild Orthopädie Hüfte Oberflächenersatz
Bild Orthopädie Knie Schlittenprothese
Bild Orthopädie Schulterinversprothese

Der Einsatz künstlicher Gelenke an Hüfte, Knie, Schulter, Ellenbogen oder Sprunggelenk erfolgt in der Klinik für Orthopädie mit modernster Technologie wie z.B. der intraoperativen Navigation. Neben den Routineverfahren mit zementierten und zementfreien Implantaten kommen auch spezielle Prothesen für junge Patienten (knochensparende Spezialprothesen), Oberflächenersatz sowie Implantate zur Behandlung starker Deformitäten – speziell an Hüft- und Kniegelenk – zum Einsatz. Alle verwendeten Implantate genügen höchsten Qualitätsanforderungen und sind nach neuesten Normen zertifiziert. Jedes eingesetzte Implantat wird zur Kontrolle an das Endoprothetikregister Deutschland (EPRD) gemeldet. Als Gleitpaarungen verwenden wir ausschließlich hochabriebfeste Materialien, wie z.B. hochvernetztes Polyäthylen oder Keramik.

Die folgenden Operationsverfahren werden in unserer Orthopädie angewendet:

  • primäre Endoprothetik (erstmaliger Einsatz eines künstlichen Gelenkes an Hüfte, Knie, Schulter und Ellenbogen, z.B. bei Arthrose, Rheuma, unfall- und infektionsbedingten Zuständen, Hüftkopfnekrose) in minimal-invasiver Technik
  • Wechsel-Endoprothetik (Austausch künstlicher Gelenke)
  • spezielle Endoprothetik (knochensparende Hüftprothesen, z.B. Oberflächenersatz, Kurzschaftprothese)
  • spezielle Knieendoprothetik (bei starken Achsverbiegungen des Gelenkes oder Bandinstabilitäten, z.B. bei Rheuma)
  • spezielle Schulterendoprothetik (bei kompletter Zerstörung der gelenkübergreifenden Muskulatur)
         
Copyright 2026. All Rights Reserved.
You are using an outdated browser. The website may not be displayed correctly. Close