Support

Lorem ipsum dolor sit amet:

24h / 365days

We offer support for our customers

Mon - Fri 8:00am - 5:00pm (GMT +1)

Get in touch

Cybersteel Inc.
376-293 City Road, Suite 600
San Francisco, CA 94102

Have any questions?
+44 1234 567 890

Drop us a line
info@yourdomain.com

About us

Lorem ipsum dolor sit amet, consectetuer adipiscing elit.

Aenean commodo ligula eget dolor. Aenean massa. Cum sociis natoque penatibus et magnis dis parturient montes, nascetur ridiculus mus. Donec quam felis, ultricies nec.

Schulter

Die Schulter ist das beweglichste Gelenk im menschlichen Körper mit hohen Freiheitsgraden in allen Ebenen. Dadurch ist die Schulter aber auch besonders anfällig für Verschleiß oder Verletzungen. Das Schultergelenk besteht aus dem Oberarmknochenkopf und dem Schulterblatt mit der ovalen und verhältnismäßig kleinen Gelenkpfanne, die durch eine dünne, faserknorpelige Pfannenlippe – das so genannte Labrum – vergrößert wird. Die im Verhältnis zum Oberarmkopf relativ kleine Pfanne gewährt einerseits die gute Beweglichkeit der Schulter, erfordert aber andererseits, dass weitere Strukturen die Stabilisierung des Gelenks übernehmen müssen. Dies sind hauptsächlich die Gelenkkapsel und die schulterübergreifende Muskulatur. Bei letzterer ist vor allem die so genannte Rotatorenmanschette wichtig, ein Zusammenschluss aus fünf Muskeln und ihren Sehnen, die den Oberarmkopf manschettenartig umgeben. Sie ist nicht nur für die Drehung und Hebung des Arms verantwortlich, sondern auch für die stabile Führung des Schultergelenks. An den Bewegungen des Schultergelenks immer mitbeteiligt ist auch das Gelenk zwischen Schulterdach und Schlüsselbein, das AC-Gelenk (Acromio-Clavicular-Gelenk). Verschleiß oder Verletzungen dieses Gelenks können ebenfalls zu anhaltenden Schulterbeschwerden führen.

Bei anhaltenden Schulterbeschwerden ist zunächst eine exakte Diagnostik zur Ursachenforschung erforderlich. Hierzu gehören die genaue Untersuchung, Röntgenaufnahmen, evtl. Ultraschalluntersuchung und – nur in einigen Fällen – die Kernpintomographie. Fast alle Erkrankungen der Schulter sollten zunächst konservativ – mit Medikamenten, Physiotherapie, physikalischen Maßnahmen, lokalen Injektionen – behandelt werden. Nur wenn trotzdem die Beschwerden über Monate anhalten oder unerträglich sind, sollte eine Operation in Betracht gezogen werden. Die Orthopädie Erwitte bietet das gesamte Spektrum operativer Behandlungsmöglichkeiten an der Schulter an. Die Eingriffe werden überwiegend arthroskopisch – also mit wenigen Stichinzisionen und einer Videokamera – durchgeführt. Nur in wenigen Fällen ist eine offene Operation erforderlich.

Kalkschulter

Bei einer degenerativen Veränderung und gleichzeitiger Überlastung der oberhalb der Schulter gelegenen Supraspinatussehne kann es zu chronischen Entzündungen mit Kalkablagerung kommen (Abb. 2). Wenn sich das Kalkdepot in den Schleimbeutel entleert, führt dies unter Umständen zur Schleimbeutelentzündung bis hin zu sehr schmerzhaften Bewegungseinschränkungen der Schulter. Bleibt eine konservative Therapie mit Medikamenten, Injektionen oder Stoßwellentherapie erfolglos, kann das Kalkdepot in einer arthroskopischen Operation entfernt werden. Die Schulter kann nach diesem Eingriff frei bewegt werden und die Schmerzen lassen schlagartig nach.

Bild Orthopädie Schulter Schall
Bild Orthopädie Schulter Kalkentfernung

Impingementsyndrom

Eine der häufigsten Ursachen für Schulterschmerzen: Die Sehnen der Rotatorenmanschette werden unter dem Schulterdach eingequetscht, insbesondere beim Anheben des Arms über die Horizontale. Das Impingementsyndrom ist meist mit einer Schleimbeutelreizung und oft mit einem Verschleiß des AC-Gelenks vergesellschaftet. Die gequetschten Sehnen (meist M. supraspinatus) können auf Dauer degenerieren oder sogar reißen. Die Therapie sollte in jedem Fall zunächst konservativ sein. Bei anhaltenden Beschwerden und vor allem sich anbahnenden Sehnenrissen jedoch sollte der Durchlass für die Sehnen durch Ausfräsen des Knochens am Schulterdach (so genannte Acromioplastik) erweitert werden – insbesondere, wenn ohnehin spornartige Knochenwucherungen vorliegen. Dieser Eingriff wird routinemäßig arthroskopisch durchgeführt, und das Schultergelenk kann danach sofort frei bewegt werden. Umfang und Zeitpunkt dieser Operation müssen daher von erfahrenen Spezialisten mit dem Patienten genau besprochen werden: Bei bereits eingetretenem Riss der Rotatorenmanschette ist nämlich eine Naht und nachfolgend eine wesentlich aufwändigere Nachbehandlung erforderlich.

Riss der Rotatorenmanschette

Risse der Rotatorenmanschette können sowohl durch Verschleiß als auch durch einen Unfall entstehen. Vor allem: Nicht jeder Rotatorenmanschettenriss mach Beschwerden – kleinere, verschleißbedingte Risse bleiben oft unbemerkt, größere Risse verursachen Schmerzen, und so genannte Massenrupturen führen darüber hinaus zu Bewegungseinschränkungen bis hin zur "Pseudolähmung".

Asymptomatische Rotatorenmanschettenrisse bedürfen keiner Behandlung. Bei schmerzhaften Rotatorenmanschettenrissen muss im persönlichen Gespräch mit dem Arzt besprochen werden, ob der Versuch unternommen werden soll, durch konservative Behandlung den Riss in ein symptomfreies Stadium zu überführen. Wenn dies nicht gelingt, sollte eine Naht des Risses vorgenommen werden. Dies erfolgt in der Orthopädie Erwitte in diesen Fällen fast immer arthroskopisch. In schweren Fällen mit ausgeprägter Bewegungseinschränkung ist eine unmittelbare Operation und Naht zu empfehlen – dann wegen der Größe des Risses meist offen. Bei großen Rissen kommt es nämlich zu einer Retraktion der Sehnen und nachfolgenden Schrumpfung der zugehörigen Muskeln – und dann ist eine Rekonstruktion der Rotatorenmanschette durch Naht nicht mehr möglich. Nach einer Naht der Rotatorenmanschette ist eine Ruhigstellung auf einem so genannten Abduktionskissen für einige Wochen erforderlich, Physiotherapie erfolgt ab dem ersten Tag.

Wenn aufgrund eines Rotatorenmanschettenrisses starke Beschwerden bestehen, eine Naht der Sehnen aber nicht mehr möglich ist, können Schmerzfreiheit und Funktion dennoch wiederhergestellt werden: es ist dann der Einsatz einer inversen Prothese möglich. Hierdurch werden die Hebelverhältnisse am Schultergelenk dergestalt verändert, dass die Schulterfunktion mit dem verbliebenen Deltamuskel bewerkstelligt werden kann. Falls dieser Eingriff dem Patienten zu groß erscheint oder aus medizinischen Gründen nicht möglich ist, besteht als letztes die Möglichkeit, arthroskopisch ein "Schulterkissen" einzusetzen. Durch diesen einfachen Eingriff können die Schmerzen beseitigt und die Funktion teilweise wiederhergestellt werden. Das Kissen wird allerdings vom Körper innerhalb von zwei Jahren abgebaut, so dass der Eingriff bei erneuten Beschwerden wiederholt werden muss.

Schulterarthrose und künstliche Schultergelenke

Wie bei jedem anderen Gelenk kann es vor allem im fortgeschrittenen Alter auch zu Verschleißerscheinungen im Schultergelenk selbst kommen. Die Schulterarthrose, in der Medizin Omarthrose genannt, macht sich in erster Linie durch zunehmende Bewegungsschmerzen in alle Richtungen und Bewegungseinschränkungen bemerkbar. Durch die zerstörte Knorpelschicht im Schultergelenk reiben die knöchernen Gelenkenden direkt aufeinander, so dass mit zunehmendem Krankheitsfortschritt Bewegungseinschränkungen selbst bei täglichen Verrichtungen wie Ankleiden oder Frisieren auftreten. Neben altersbedingter Knorpelabnutzung kann die Omarthrose auch durch in Fehlstellung verheilte Brüche, Systemerkrankungen wie rheumatoide Polyarthritis oder Durchblutungsstörungen des Oberarmkopfes verursacht werden.

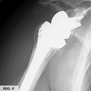
Zur Behandlung der Omarthrose bietet die Klinik für Orthopädie ein breites Spektrum an therapeutischen Maßnahmen. Bei auftretenden Krankheitssymptomen werden die Beschwerden in der Schulter zunächst konservativ mit Medikamenten, physikalischen Maßnahmen oder lokalen Injektionen behandelt. Ist die degenerative Erkrankung des Schultergelenks bereits zu weit fortgeschritten, besteht die Möglichkeit, ein künstliches Schultergelenk zu implantieren. Mit der Endoprothese werden die Teile des Gelenks ersetzt, die durch die Erkrankung verschlissen sind. Bei der Wahl der Prothese berücksichtigen unsere Fachärzte, bei jedem Patienten so viel Knochensubstanz wie möglich zu erhalten. So steht neben Voll- und Teilprothesen auch die stiellose Kurzprothese zur Verfügung. Das Implantat erhält den Knochen im Hals- und Stielbereich des Oberarms und wird nur mit einem kurzen Stiel im Knochen verankert. Es kann auch mit einem Pfannenersatz im Schulterblatt kombiniert werden und wird vorzugsweise bei jüngeren Patienten eingesetzt, um für eine eventuell spätere Revisionsoperation möglichst viel Knochensubstanz zu erhalten. Bei der Teil- oder Vollendoprothese hingegen wird der gesamte Oberarmkopf entfernt und durch eine Schaftprothese ersetzt, die wahlweise mit einer künstlichen Schulterpfanne kombiniert wird – zumeist in zementfreier Technik. Bei komplizierteren Fällen verwenden wir mehrteilige "modulare" Prothesen. Durch ein Halsstück, das auf dem Schaft befestigt wird, lässt sich der Oberarmwinkel individuell einstellen. Darauf wird schließlich das in verschiedenen Größen erhältliche Kopfteil fixiert – so kann das Implantat individuell an die Anatomie des Patienten angepasst werden.

Bild Orthopädie Schulter Kurzschaftprothese
Bild Orthopädie Schulter Inverse Prothese

Für den Fall, dass die Omarthrose mit starken Sehnendefekten der Rotatorenmanschette verbunden ist, kommt anstelle einer herkömmlichen Vollprothese eine so genannte inverse Schulterprothese zum Einsatz: Um die Hebelverhältnisse am Schultergelenk zu verändern, muss die Gelenkanatomie mit Hilfe des besonderen Prothesenmodells umgekehrt (invers) werden. So wird der Prothesenkopf statt auf dem Oberarmknochen auf der Gelenkpfanne verankert – dadurch unterstützt bzw. ersetzt der Deltamuskel die fehlende Funktion der Rotatorenmanschette.

Abgerundet wird das orthopädische Leistungsspektrum durch arthroskopische Operationen von Schulterinstabilitäten – z.B. aufgrund wiederholter Schulterluxationen – sowie weiterer krankhafter Veränderungen an der Gelenkkapsel.

Copyright 2026. All Rights Reserved.
You are using an outdated browser. The website may not be displayed correctly. Close