Support

Lorem ipsum dolor sit amet:

24h / 365days

We offer support for our customers

Mon - Fri 8:00am - 5:00pm (GMT +1)

Get in touch

Cybersteel Inc.
376-293 City Road, Suite 600
San Francisco, CA 94102

Have any questions?
+44 1234 567 890

Drop us a line
info@yourdomain.com

About us

Lorem ipsum dolor sit amet, consectetuer adipiscing elit.

Aenean commodo ligula eget dolor. Aenean massa. Cum sociis natoque penatibus et magnis dis parturient montes, nascetur ridiculus mus. Donec quam felis, ultricies nec.

Fuß

Die Klinik für Orthopädie bietet ein umfassendes Leistungsspektrum in der Behandlung von Vorfußdeformitäten. Die Korrektur von Spreizfüßen mit Verformung der Großzehe (Hallux valgus) sowie Verformungen und Verlagerungen der Kleinzehen (Krallenzehe, Hammerzehe) zählen ebenso dazu wie die operative Behandlung von Hohl- und Senkfuß.

Kleine bis mäßige Fußdeformitäten können oft durch konservative Maßnahmen wie Einlagen oder korrigierende Bandagen und Orthesen behandelt werden. Dies ist eine Domäne der in Praxen niedergelassenen Orthopäden, da wir keine Berechtigung zur Untersuchung und Behandlung dieser Patienten im kassenärztlichen Bereich besitzen. Bei höhergradigen Fußdeformitäten sind konservative Methoden aber meist wirkungslos, so dass man zumindest einmal überprüfen sollte, ob durch einen korrigierenden Eingriff dauerhafte Abhilfe geschaffen werden könnte.

So komplex wie der Fuß in seinem anatomischen und funktionellen Aufbau ist, so umfangreich ist die Liste der Fußdeformitäten und ihrer Behandlungsmöglichkeiten. Im Folgenden sollen daher nur einige der wichtigsten Deformitäten und ihre Behandlungsmöglichkeiten dargestellt werden. Eine Liste aller in der Orthopädie Erwitte behandelbaren Fußerkrankungen findet sich am Ende.

Hallux valgus

Dies ist die häufigste Fußdeformität: meist in Verbindung mit einem Spreizfuß weicht die Zehe nach seitlich ab (Abb. 1). Das Köpfchen des ersten Mittelfußknochens tritt nach innenseitig hervor, oftmals bildet sich hier ein Knochenwulst oder eine entzündete Bursa (Schleimbeutel). Die Fehlstellung der ersten Zehe kann darüber hinaus zu einem Verschleiß des Großzehengrundgelenks führen oder durch Verdrängung der zweiten Zehe zur Ausbildung einer Krallen- oder Hammerzehe.

Die operativen Korrekturmöglichkeiten hängen vom Ausmaß der Deformität ab: in einfachen Fällen genügt eine Korrektur der Zehenfehlstellung durch eine Kapselplastik. In schwereren Fällen muss die zugrundeliegende Spreizfußdeformität behandelt werden. Hierzu wird an bestimmten Stellen der erste Mittelfußknochen durchtrennt und zur Vorfußverschmälerung abgewinkelt. Danach erfolgt die oben genannte Weichteil-Kapselplastik und Korrektur des Hallux valgus. Die seitliche Knochenwucherung wird in gleicher Sitzung abgetragen.

Bild Orthopädie Fuss Hallux Valgus
Bild Orthopädie Fuss Krallenzehe

Hammer- und Krallenzehe

Diese (Abb. 2) entstehen isoliert oder im Zusammenhang mit einem Hallux valgus. Je nach Ausprägung werden sie mit einer Sehnenverlagerung oder einer so genannten Resektionsarthroplastik des Kleinzehengelenks begradigt.

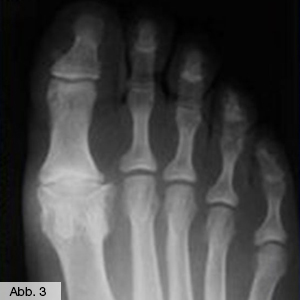
Arthrose des Zehengelenks

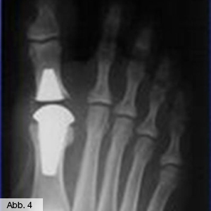
Wie auch bei den großen Gelenken führt der Verschleiß des Großzehengrundgelenks (Abb. 3) zu Bewegungs- und Belastungsschmerzen. Da dieses Gelenk für einen normalen Abrollvorgang beim Gehen äußerst wichtig ist, kann eine Arthrose sehr behindernd sein. Wenn eine Ruhigstellung des Gelenks durch Einlagen nicht mehr ausreicht, können hier operative Eingriffe helfen. Die Behandlungsspanne reicht von dem einfachen Abtragen störender Knochenzacken (Cheilektomie) über Knorpelplastiken bis zum Einsatz eines künstlichen Großzehengrundgelenks (Abb. 4) oder einer Versteifung.

Bild Orthopädie Fuss Zeh
Bild Orthopädie Fuss Zehprothese

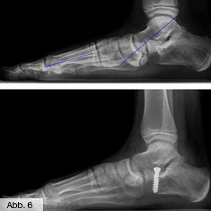
Knick-Senkfuß

Dies ist eine typische Deformität des Rückfußes (Abb. 5). Im Allgemeinen verursacht er keine Beschwerden oder es kann durch Einlagen zumindest eine Verschlimmerung verhindert werden. In schweren Fällen kommt es zu Belastungsschmerzen oder zum Hervortreten eines Knochens (Kahnbein) an der Innenseite des Fußes.

Bei Kindern ist eine operative Therapie dann recht einfach: durch eine so genannte Arthorise (Calcaneus-Stop-Schraube, Abb. 6) kann ein weiteres Absinken des Fußgewölbes gestoppt werden und das Gewölbe normalisiert sich bis zur Aufrichtung. Dieser einfache Eingriff kann an beiden Füßen gleichzeitig durchgeführt werden und erfordert einen nur ein- bis zweitägigen stationären Aufenthalt.

Bei Erwachsenen ist die Korrektur aufwendiger: je nach Ausprägung der Deformität, Alter des Patienten und Situation des unteren Sprunggelenks können wir einen Knickfuß des Erwachsenen durch Sehnenverlagerung und Versetzung des Fersenfortsatzes oder durch eine korrigierende Versteifung des unteren Sprunggelenks behandeln.

Bild Orthopädie Fuß Knicksenkfuss
Bild Orthopädie Fuß Calcaneusstopschraube

Sprunggelenke

Viele Beschwerden am oberen Sprunggelenk können durch eine Sprunggelenkarthroskopie behoben werden (Abb. 8). Hierzu gehören beispielsweise Gelenkblockaden durch freie Gelenkkörper, Knorpelschäden (s. hierzu Kapitel Knorpeltherapie unter Kniegelenk), Einklemmungsschmerzen durch Wucherungen der Gelenkschleimhaut oder Knochensporne, Osteochondrosis dissecans. In seltenen Fällen ist es erforderlich, das Sprunggelenk durch einen vorderen Schnitt oder sogar eine Osteotomie des Innenknöchels zu eröffnen.

Bild Orthopädie Fuss Sprunggelenk
Bild Orthopädie Fuss Knorpelsprunggelenk

Folgende Fußdeformitäten sind in der Orthopädie Erwitte durch operative Eingriffe zu therapieren:

  • Hallux valgus
  • Hammer-/Krallenzehen
  • Arthrose des Großzehengrundgelenks
  • Knochenauswuchs am ersten Strahl
  • Knochenauswuchs am fünften Strahl (Schneiderballen)
  • Spreizfuß mit Schmerzhaftigkeit unter den Mittelfußköpfchen
  • Arthrosen der Mittelfuß- und Fußwurzelgelenke
  • Knick-Senkfuß
  • Fersensporn
  • Arthrose / sonstige Beschwerden der Sprunggelenke

Die in der Klinik für Orthopädie durchgeführten Eingriffe am Fuß werden in der Regel ambulant durchgeführt. Bei Bedarf ist auch ein stationärer Aufenthalt in unserem Hause möglich.

Copyright 2026. All Rights Reserved.
You are using an outdated browser. The website may not be displayed correctly. Close