Support

Lorem ipsum dolor sit amet:

24h / 365days

We offer support for our customers

Mon - Fri 8:00am - 5:00pm (GMT +1)

Get in touch

Cybersteel Inc.
376-293 City Road, Suite 600
San Francisco, CA 94102

Have any questions?
+44 1234 567 890

Drop us a line
info@yourdomain.com

About us

Lorem ipsum dolor sit amet, consectetuer adipiscing elit.

Aenean commodo ligula eget dolor. Aenean massa. Cum sociis natoque penatibus et magnis dis parturient montes, nascetur ridiculus mus. Donec quam felis, ultricies nec.

Knie

Das Kniegelenk ist das größte Gelenk im menschlichen Körper. Bestehend aus drei Gelenkanteilen verbindet es den Oberschenkelknochen mit dem Schienbeinknochen, an deren Enden sich jeweils eine dicke, glatte Knorpelschicht befindet. Die dazwischen liegenden Faserknorpelscheiben – der Innen- und Außenmeniskus – passen sich jeder Bewegung an und dienen als Stoßdämpfer für die zahlreichen Druck-, Zug- und Beschleunigungskräfte, denen das Knie jeden Tag ausgesetzt ist.

Ebenso wie das Hüftgelenk ist das Kniegelenk häufig von Arthrose betroffen. Der beim Knie als Gonarthrose bezeichnete, degenerative Gelenkverschleiß bildet die nach der Hüftarthrose zweithäufigste Gelenkerkrankung beim Menschen. Verursacht wird diese unter anderem durch Gelenkentzündungen, die meist aus rheumatischen oder stoffwechselbedingten Erkrankungen resultieren. Auch Fehl- und Überbelastungen, welche durch X- oder O-Beinstellung, Bewegungsmangel oder Übergewicht hervorgerufen werden können, zählen zu den verstärkenden Faktoren. Je nach Krankheitsverlauf resultiert dies über kurz oder lang in erheblichen Schmerzen und einem Verlust an Bewegungsfreiheit.

Im Falle einer gelenkerhaltenden, konservativen Therapie bieten wir neben Kälte-, Wärme- und elektrotherapeutischen Anwendungen zur Schmerzlinderung auch ein gelenkschonendes Bewegungsprogramm mit gezielter und professionell angeleiteter Krankengymnastik an. Erzielen diese Maßnahmen nicht mehr die gewünschte Wirkung, kommt es mehr und mehr zu einer Mobilitätseinschränkung und damit zur Verminderung der Lebensqualität.

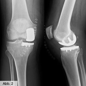
Ist ein Knorpelschaden am Kniegelenk reparabel?

Jein! Eine hundertprozentige Heilung eines Knorpelschadens ist nicht möglich, da der Körper den originalen "hyalinen Knorpel" nicht mehr nachbilden kann. Für kleinere Knorpelschäden (bis etwa 2,5 cm Durchmesser) bietet die Orthopädie Erwitte aber mehrere Verfahren an, mit denen der Defekt zumindest durch Ersatzknorpel gedeckt werden kann und so ein Fortschreiten verhindert werden kann. Bei der Anbohrung ("Microfracturing") werden Stammzellen aus dem benachbarten Knochenmark in den Defekt transportiert, die diesen dann mit so genannten Faserknorpel schließen. Bei der Knochen-Knorpelverpflanzung ("osteochondraler Transfer") werden Knorpelzylinder aus weniger belasteten Arealen des Gelenks in den Defekt versetzt. Bei der Knorpelzüchtung schließlich ("autologe Chondrozytentransplantation") werden körpereigene Knorpelzellen in ein Speziallabor gesandt und dann durch Anzüchtung vermehrt. Das zurückgeliefete Transplantat wird dann in den Defekt eingepflanzt. Dieses Verfahren fällt unter die strengen Regeln des Transplantationsgesetzes und wird daher nur an wenigen Orten angeboten. Welches dieser Verfahren für den Patient infrage kommen könnte, kann durch Vorstellung in einer unserer Gelenksprechstunden geklärt werden.

Gerade Beine – nicht nur kosmetisch wichtig!

Ein weiteres häufiges Problem ist die einseitige Gelenküberlastung oder -abnutzung durch Achsfehler (X- oder O-Bein). Im Normalfall hat der Mensch ein leichtes X-Bein und die Lastlinie im Stehen fällt von der Mitte des Hüftgelenks durch die Mitte des Kniegelenks bis zur Mitte des Sprunggelenks. Bei einem übermäßigen X-Bein wird der äußere Gelenkspalt des Kniegelenks überlastet, bei einem O-Bein der innere Gelenkspalt. Mit zunehmendem Alter kann sich hieraus eine Arthrose entwickeln. Falls eine übermäßige Achsabweichung oder entsprechende Beschwerden bereits im Wachstumsalter auftreten, können wir durch einseitige vorübergehende Klammerung der Wachstumsfugen am Kniegelenk (Epiphyseodese) eine Korrektur des Achsfehlers auf recht einfache Weise bewirken. Wichtig: Nicht-operative "wuchslenkende" Maßnahmen wie z.B. Quengelschienen, Orthesen oder ähnliches sind hier wirkungslos. Bei einer deutlichen Achsabweichung (z.B. O-Bein) im Erwachsenenalter und bereits eingetretener Arthrose kann man auch hier durch eine Korrektur der Beinachse (oder sogar eine leichte Überkorrektur) eine Entlastung des verschlissenen Gelenkanteils bewirken, damit die Beschwerden beseitigen und ein Fortschreiten der Arthrose verzögern. Falls im Rahmen der oben erwähnten Knorpelschäden einer der genannten Eingriffe zur "Knorpelreparatur" geplant wird, ist eine Korrektur vorhandener Achsfehler zwingend erforderlich. Die Begradigung der Beinachse erfolgt beim Erwachsenen durch eine Durchtrennung des gelenknahen Knochens (meistens am Schienbeinkopf), Korrektur des Achsfehlers durch Aufklappen dieses Knochenschnitts und Stabilisierung durch eine Platte.

Wie man also sieht, ist die Behebung von Knorpelschäden oder einer teilweisen Arthrose am Kniegelenk ein komplexes Problem mit vielen Lösungsmöglichkeiten. Für eine genaue Planung der entsprechenden Schritte ist eine sorgfältige Diagnostik und individuelle Planung der einzelnen Therapieschritte erforderlich. Dies erfolgt in unseren Gelenksprechstunden.

Das künstliche Kniegelenk

Wenn der Gelenkknorpel vollständig zerstört ist (es reibt Knochen auf Knochen), bleibt in der Regel das Einsetzen einer Gelenkprothese als einzige Methode übrig. Mit Hilfe modernster Technik wird je nach Bedarf ein Teil oder das gesamte Gelenk durch ein Implantat ersetzt. Hierfür bietet die Orthopädie Erwitte als Endoprothetikzentrum der Maximalversorgung ein breites Spektrum an Verfahren (s. EndoProthetikZentrum).

Unser Konzept beim Kniegelenkersatz ist es, eine bestmögliche Gelenkfunktion mit geringstmöglicher Opferung von Knochen und Gewebe zu ermöglichen. Daher verwenden wir als Standardprothese den so genannten Oberflächenersatz, bei dem nur so viel Knochen entfernt wird, wie es die Einbautiefe der Prothese erfordert. Die Bänder (Seitenbänder und hinteres Kreuzband) bleiben erhalten und gewähren die Stabilität und Kinematik des Gelenks.

Bild Orthopädie Kniemodell
Bild Orthopädie Knie Schlittenprothese
Copyright 2026. All Rights Reserved.
You are using an outdated browser. The website may not be displayed correctly. Close